RaySearch at PTCOG 63
JUNE 3 – 6 | BUENOS AIRES, ARGENTINA | BOOTH #08
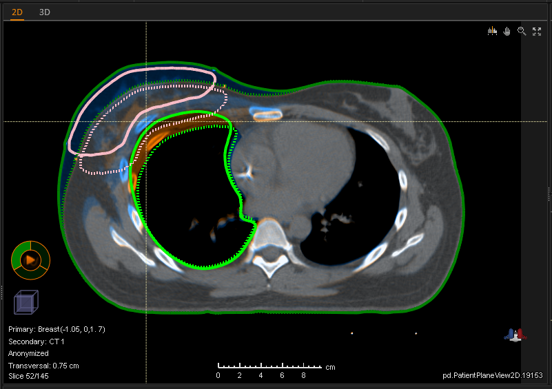
At RaySearch Laboratories, we transform energy into intelligence — enabling clinicians to harness protons, carbon ions, BNCT, and photons with greater precision, control, and adaptability.
Radiotherapy software has always been our core technology. Through advanced optimization algorithms and numerous lines of codes, our solutions shape emergent therapeutical energy into smarter, safer cancer treatments.


